时间:2013年12月31日点击数:次发布来源:北京京城皮肤医院
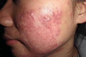
脸上起痤疮应注意什么?痤疮是一种常见皮肤疾病,对患者的影响很大,尤其是面部痤疮,严重影响到患者的面部美观,那么,脸上起痤疮应注意什么?北京京城皮肤医院为您带来详细介绍。
脸上起痤疮应注意什么
脸上起痤疮应注意什么?北京京城皮肤医院介绍说:
1、停止使用洁面类、润肤类的护肤品。你的皮肤现在问题很大,不要用东西去刺激、堵塞毛孔。
2、脸上大面积痤疮时一定要去看皮肤科或者内分泌科的医生:医生会给你一些平衡内分泌的药物和外用药物。按医生说的去服用、使用,相信医生的专业建议。
3、随身携带吸油面纸:隔两个小时拿出来把脸上的油吸干。不要难为情,不要怕麻烦,没有多余的油脂堵塞毛孔,痘痘自然长不出来。推荐阅读:痤疮预防方法
4、正确的洗脸:准备一张干松的干净毛巾。用香皂把手洗净——用手把温热水轻泼在脸上——不要用手揉脸——用干松的毛巾轻柔擦脸。擦干以后再泼水到脸上、再擦,如此重复3-5次。切忌用力过猛,多点耐心慢慢的轻轻的擦,小心不要把痘痘擦破。
5、早晚各一次*清洁皮肤,并尽可能温和洗净。在一天当中,你可以使用吸油面纸,轻轻擦拭脸部,以去除油光满面的情形。根据我们的经验,除了早晚清洁脸部,在这之间如果常洗脸,会造成反效果,会使皮肤变得松弛。
温馨提示:痤疮是一种常见的疾病,发现患痤疮后要及时去正规的医院接受治疗,不要相信一些小门诊等,不然治疗不*,反复发作,会让病情进一步恶化!还有什么疑问的话可挂号专家,我们的专家将竭诚为您服务!