时间:2011年08月01日点击数:次发布来源:北京京城皮肤医院
丘疹性荨麻疹产生的原因是什么呢?我们知道,很多丘疹性荨麻疹的患者都是被蚊虫叮咬所致的一种过敏性反应,这种现象在夏季尤其常见。北京京城皮肤医院说,丘疹性荨麻疹的产生,虫咬是主要的原因,但是并不是的原因。那么,得了丘疹性荨麻疹应该怎么办呢?下面我们就来了解一下。

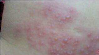
其实,丘疹性荨麻疹的产生是由患者的体质来决定的,丘疹性荨麻疹患者通常具有过敏性体质,瘙痒和风团是该病的主要特征,需要引起大家的重视。
丘疹性荨麻疹产生的原因是什么呢?
北京京城皮肤医院介绍:被蚊虫叮咬后,皮肤往往会产生一种过敏性反应,这种反应时双相性的,立即产生风团红斑反应,之后是较为持久的丘疹样反应。专家说:立即型风团红斑反应一般持续额时间较长短,但是丘疹持续的时间比较长。有的人认为丘疹性荨麻疹属于一种迟发性过敏反应,一般**次被蚊虫叮咬后,经过10天左右才会产生过敏性反应,如果第二次被叮咬后就会立即发生皮疹。由于丘疹性荨麻疹在皮损区 浅层血管壁会有*球蛋白E及补体沉淀,而且血管周围有中性粒*及核碎片,这就表明该病中可能会涉及到*复合物。
除了上述介绍的,有的丘疹性荨麻疹患者的发病与环境变化、胃肠道障碍或者食物过敏有一定的关系。
北京京城皮肤医院专家提示:以上是对“丘疹性荨麻疹产生的原因是什么呢?”的相关介绍,希望能对患者有一定的帮助。专家说,丘疹性荨麻疹虽然不像有的疾病很严重,但是也要及时治疗,如果不及时进行治疗,时间长了就很可能演变成顽固的皮肤病,这时候治疗起来就比较困难了。如果您想了解更多关于遗传性对称性色素异常症的知识,欢迎拨打我院专家电话:010—64888999,或者您也可以挂号,我院专家随时愿意为您服务,帮助您摆脱疾病困扰。
--------推荐阅读---------