时间:2011年08月09日点击数:次发布来源:北京京城皮肤医院
舌扁平苔藓的症状是什么?舌扁平苔藓是一种比较常见的口腔粘膜病,它对患者的健康的影响是很大的,而且对日常生活也会带来很多不便之处,那么舌扁平苔藓的症状是什么呢?下面将为大家做出详细的介绍。

舌扁平苔藓的症状是:
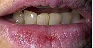
舌扁平苔藓大约占口腔病变的44 。其损害多发生在舌前2/3区的舌尖、舌缘及舌腹部、舌背等处,发病早期表现为舌粘膜出现丘疹状灰白透蓝,有丝状乳头受累,也可逐渐形成圆形或椭圆形的灰白色斑块,触之有粗糙感,舌乳头萎缩后则会成为鲜红或暗红色平滑斑,也可发生糜烂。而位于舌背的病变也可发生乳头增殖角化和部分萎缩的混合病变。病变如果角化增生好,则容易与白斑混淆。舌腹部的病变一般都是呈网状树枝状或条纹状。舌尖的病变较少见,也可侵及舌系带。舌缘腹侧的病变如果是长期充血有溃疡者,则需要随诊观察,必要时还可以进行活检,以排除癌变。
舌扁平苔藓的治疗方法:
舌扁平苔藓的治疗首先应注意积去除各种不良刺激,如去除牙垢,修正锐利牙齿以及不良修复体等。日常生活中应注意保持口腔卫生,可以使用0.05 洗必泰液含漱。局部炎性病变,可以涂以皮质激素软膏或膜剂治疗。如果是长期不愈的局限的孤立病变,应考虑手术切除,或是使用氦氖激光照射,或液氮冷冻治疗。
舌扁平苔藓的病因:
舌扁平苔藓的病因目前尚无定论,一般认为与感染、精神、内分泌、系统性疾病、遗传及*等因素有关。
舌扁平苔藓的症状是什么?你了解了吗?更多的疑问,请预约:010-64888999,北京京城皮肤医院将以高度的责任心和丰富的临床经验为您预约疑问。
推荐阅读:扁平苔藓的流行病学
推荐阅读:如何治疗口腔扁平苔藓
推荐阅读:扁平苔藓的鉴别诊断有哪些
关键词标签:舌扁平苔藓的症状是什么 舌扁平苔藓 扁平苔藓