时间:2019年07月19日点击数:次发布来源:北京京城皮肤医院
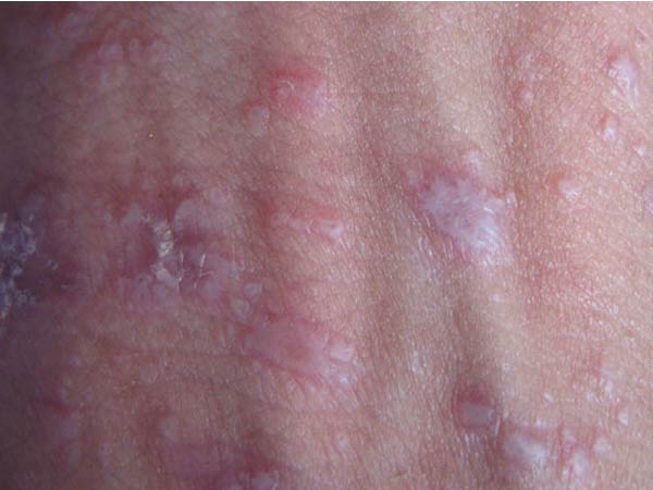
扁平苔藓会累及皮肤、黏膜、甲和毛发的炎症性皮肤病,好发于口腔黏膜,也可发生在皮肤、生殖器、指甲或趾甲,表现为紫红色多角形扁平丘疹和斑块,自觉瘙痒,对患者的影响很大,那得了扁平苔癣怎样做才好?下面是对这个问题做的详细介绍。

1、避免不良刺激因素:对糜烂型合并白色念球菌感染者要积进行治疗,控制霉菌感染,使糜烂早期愈合,这样患者才会更快的恢复。尽可能避免不良刺激因素,比如白酒、辣椒、醋、烫食等。多吃新鲜瓜果蔬菜和低糖、低脂肪、低胆固醇食品。
2、定期检查口腔粘膜:口腔扁平苔藓患者要去除掉这些物质,可以选用柔软毛刷刷牙,不饮酒,不吸烟,不食辛辣刺激性食物,要定期检查口腔粘膜。要定期检查口腔粘膜,不要等到出现了疼痛、牵拉、紧绷甚至出血、糜烂、溃破、斑纹、色素等异常情况时才去检查。
3、注意饮食:身心放松的护理,面对生活要乐观向上,劳逸结合,可以进行体育锻炼,并定期观察疾病。注意饮食,食物上要加强营养的补充,还有口腔卫生也是要注意的,进行口腔清洁。
温馨提示:一旦发现患有扁平苔藓,请及时到正规的皮肤专科医院治疗,多吃一些新鲜的蔬菜和水果,不要吃辛辣、油腻等刺激性的食物,尽量减少外界对疾病的刺激,保持充足的睡眠时间,多喝水。
关键词标签:扁平苔藓 得了扁平苔癣怎样做才好